이상록 전북대학교병원
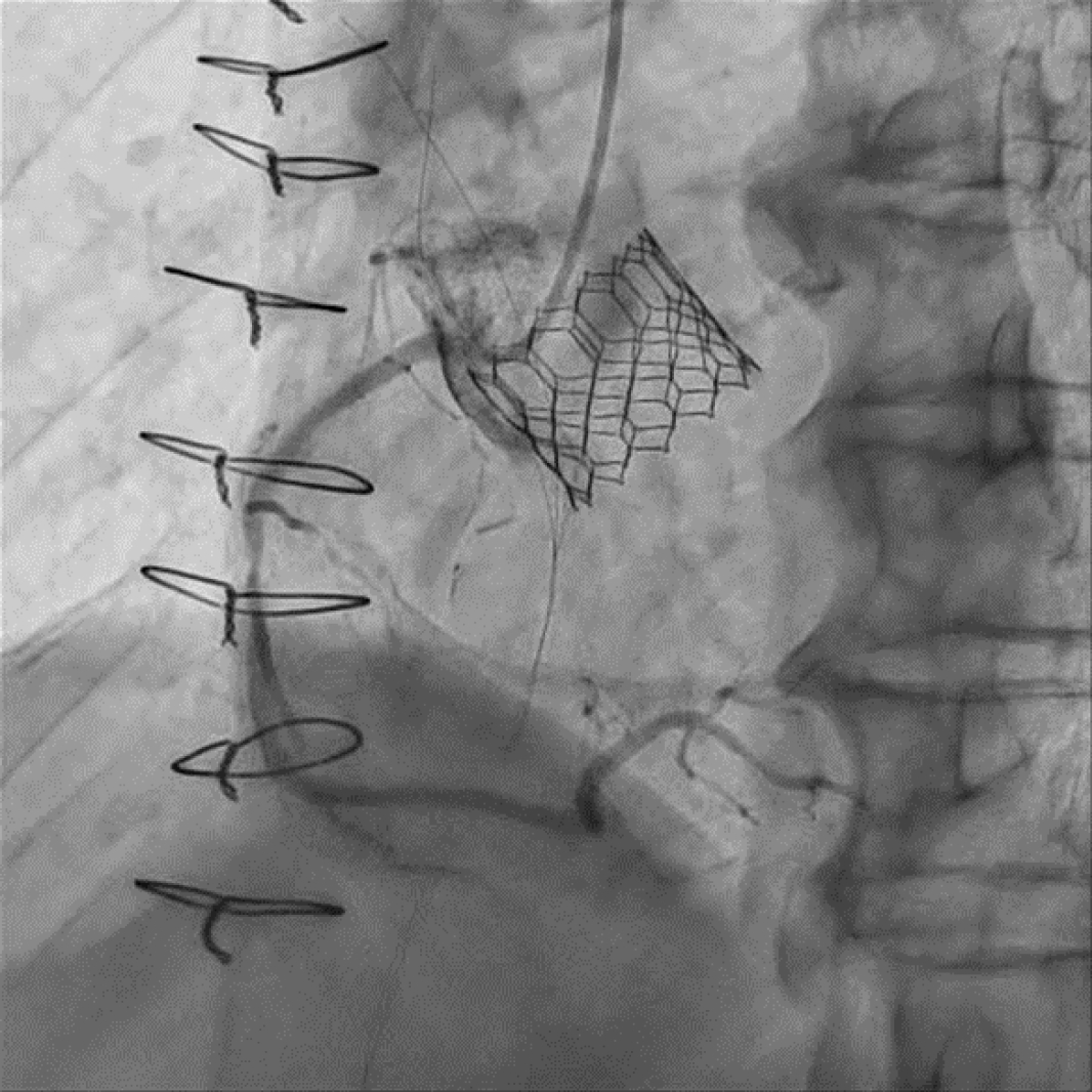
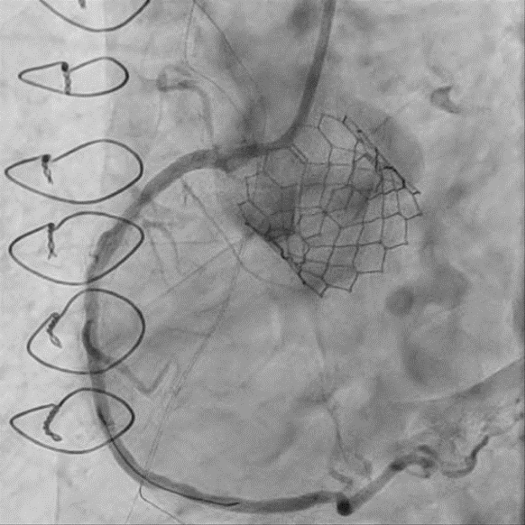
84세 남자가 아침 식사 후부터 시작된 오목 가슴 통증이 있어 응급실에 방문하였다. 과거력상 당뇨병, 고혈압이 있었고 15년전 관상동맥우회술 (coronary artery bypass graft, CABG, LIMA to LAD, Y-graft to Diagonal and Obtuse marginal branch, vein graft to PDA branch)을 시행 받았다. 또한, 1개월전 본원에서 심한 대동맥판막 협착증으로 경피적 대동맥판막 삽입술 (TAVR, Sapien 3 Ultra 26mm)을 시행 받았다. 당시 촬영한 관상동맥조영술상 LIMA graft는 잘 유지되고 있었지만 Y-graft 및 vein graft는 완전히 막혀 있는 상황이었다. 혈압 120/80 mmHg, 심박수 110회/분, 호흡수 20회/분, 체온 36.1℃, 산소포화도 98%였다. 응급실 방문 후 5분째 검사한 심전도에서 inferior leads (II, III, aVF)에 ST elevation이 있어 acute inferior ST-elevation MI로 진단하였다. 응급 관상동맥조영술상 우관상동맥 개구부 및 중위부의 심한 협착(그림 1) 이 있어 우관상동맥에 약물용출스텐트 2개를 삽입하는 일차적 관상동맥중재술(그림 2)을 시행하였다.


84세 남자가 아침 식사 후부터 시작된 오목 가슴 통증이 있어 응급실에 방문하였다. 과거력상 당뇨병, 고혈압이 있었고 15년전 관상동맥우회술 (coronary artery bypass graft, CABG, LIMA to LAD, Y-graft to Diagonal and Obtuse marginal branch, vein graft to PDA branch)을 시행 받았다. 또한, 1개월전 본원에서 심한 대동맥판막 협착증으로 경피적 대동맥판막 삽입술 (TAVR, Sapien 3 Ultra 26mm)을 시행 받았다. 당시 촬영한 관상동맥조영술상 LIMA graft는 잘 유지되고 있었지만 Y-graft 및 vein graft는 완전히 막혀 있는 상황이었다. 혈압 120/80 mmHg, 심박수 110회/분, 호흡수 20회/분, 체온 36.1℃, 산소포화도 98%였다. 응급실 방문 후 5분째 검사한 심전도에서 inferior leads (II, III, aVF)에 ST elevation이 있어 acute inferior ST-elevation MI로 진단하였다. 응급 관상동맥조영술상 우관상동맥 개구부 및 중위부의 심한 협착(그림 1) 이 있어 우관상동맥에 약물용출스텐트 2개를 삽입하는 일차적 관상동맥중재술(그림 2)을 시행하였다.